Wir behandeln Ihre Zähne mit Liebe ! 

 

 

 

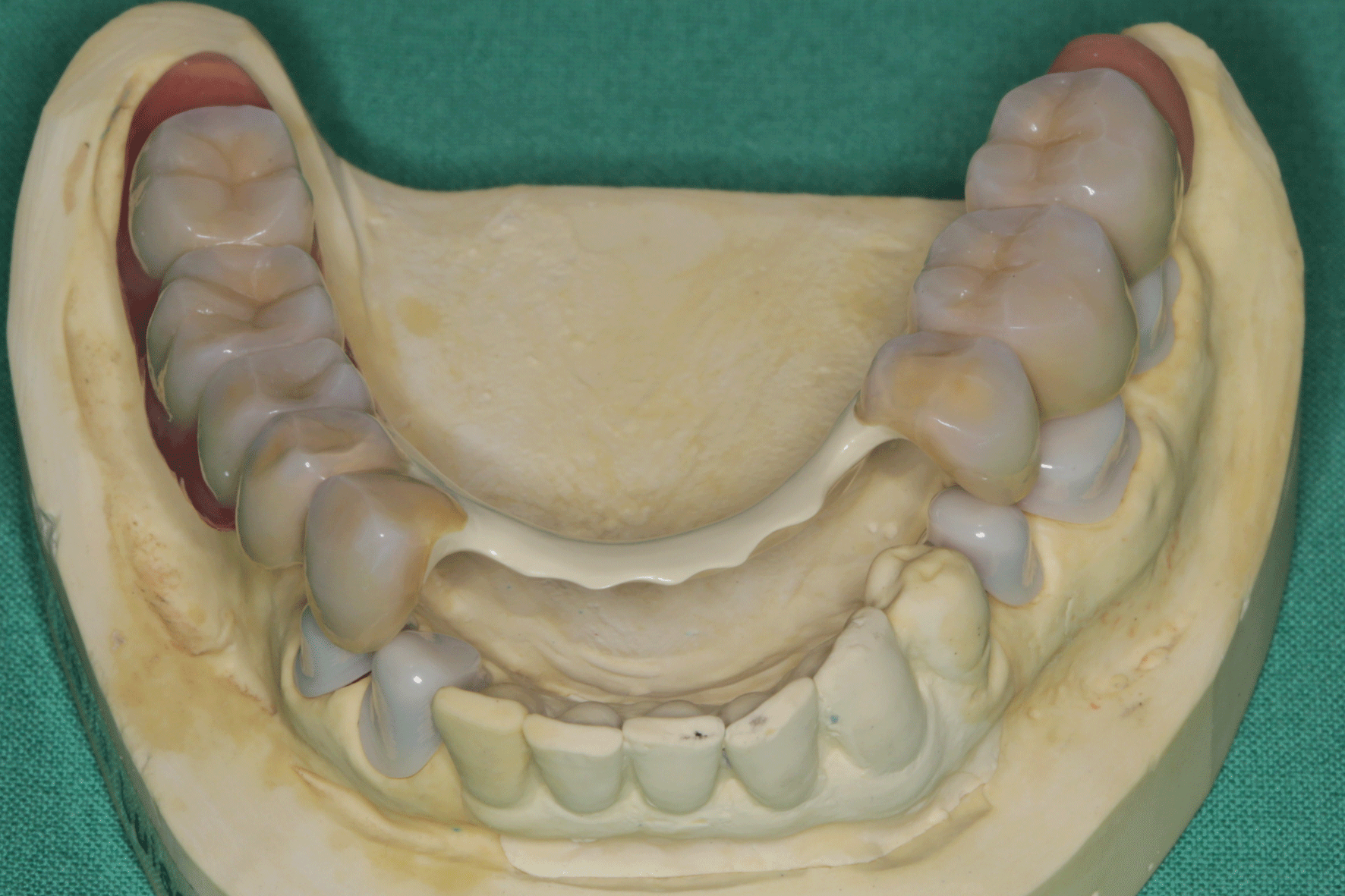
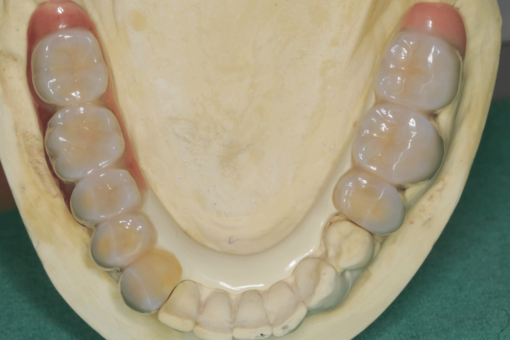
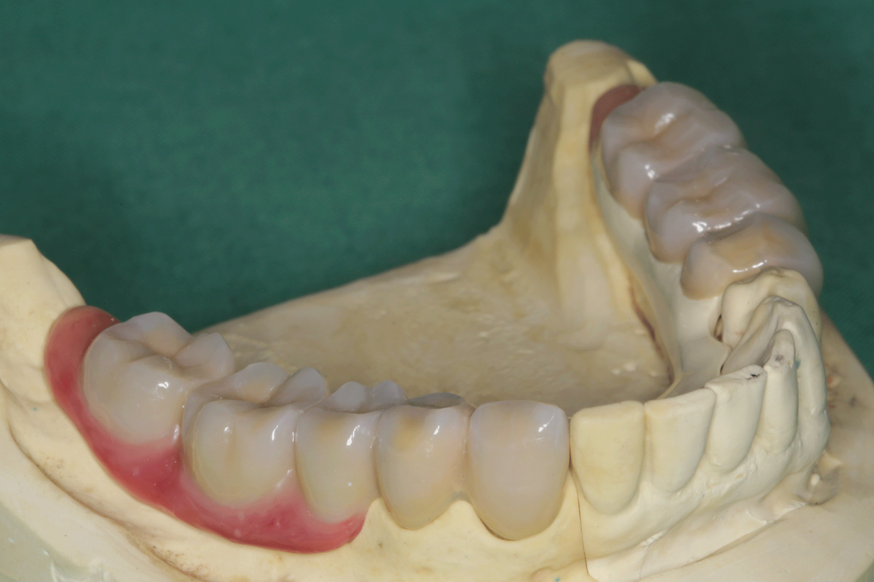
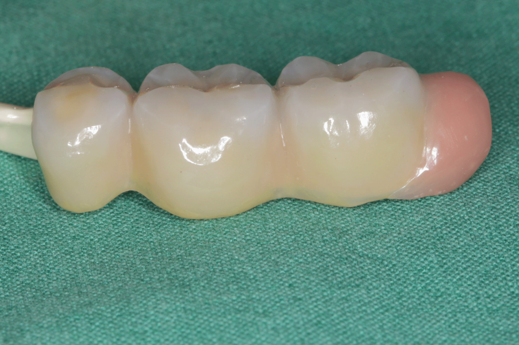
2. metallfreie Teleskopprothesen ? - Bsp. PEEK

- diese sind nach Stand der Technik zuverlässig seit 2013/14 möglich

- dabei gibt es 2 Möglichkeiten

  1. die Prothese wird komplett aus Zirkonoxidkeramik gefräst und mit  

      Verblendkeramik individuell ummantelt, bzw. modifiziert

      -> dabei ist das Gewicht aber sehr massiv

  2. es erfolgt eine Herstellung von aus Zirkon per CAD/CAM gefräßten           Primärteilen, darüber wird eine Peek- Sekundärkrone (medizinischer Kunststoff) passgenau gefräst, die Verbindung der einzelnen Kronen erfolgt durch ein NEM- Gerüst, welches vollständig von Komposit neuester         Generation ummantelt wird. Die Primärkrone wird mit einem biologisch       sehr verträglichen Zement definitiv eingesetzt. Die Mundhöhle kommt       dabei nicht mit dem Nichtedelmetallgerüst in Berührung.

      -> das Gewicht ist leicht und die Arbeit ist reparaturfreundlich 

 

  • 0022 Ferch 3700
  • 0023 Ferch 3700
  • 0040 Ferch 3700
  • 0075 Ferch 3700
  • 0039 Ferch 3700
  • 0046 Ferch 3700
  • 0094 Ferch 3700
  • 0095 Ferch 3700

* siehe auch unter Smile- Design , Fall 2       



Beispiel Pekkton, 06/2023

 


 Zahnarztpraxis

Stefan Krause

Dr.-Hockertz-Str. 18

73635 Rudersberg

 

Telefon:   07183-3678

Telefax:   07183-3666

whatsapp

01522 8466422

E-Mail:

praxis@zahndate-bykrause.de


Sprechzeiten:

Mo/Di/Do

Mi/Fr

08.00-12.00

08.00-12.00

14.00-18.00


 

 

 

 

 

E-Mail
Anruf
Infos
Instagram