Wir behandeln Ihre Zähne mit Liebe ! 

 

 

 

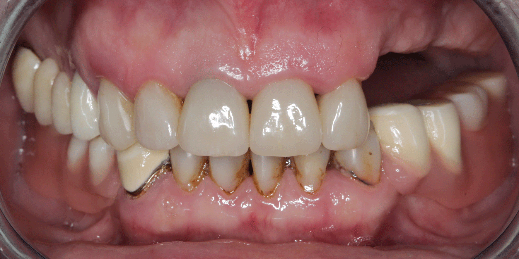
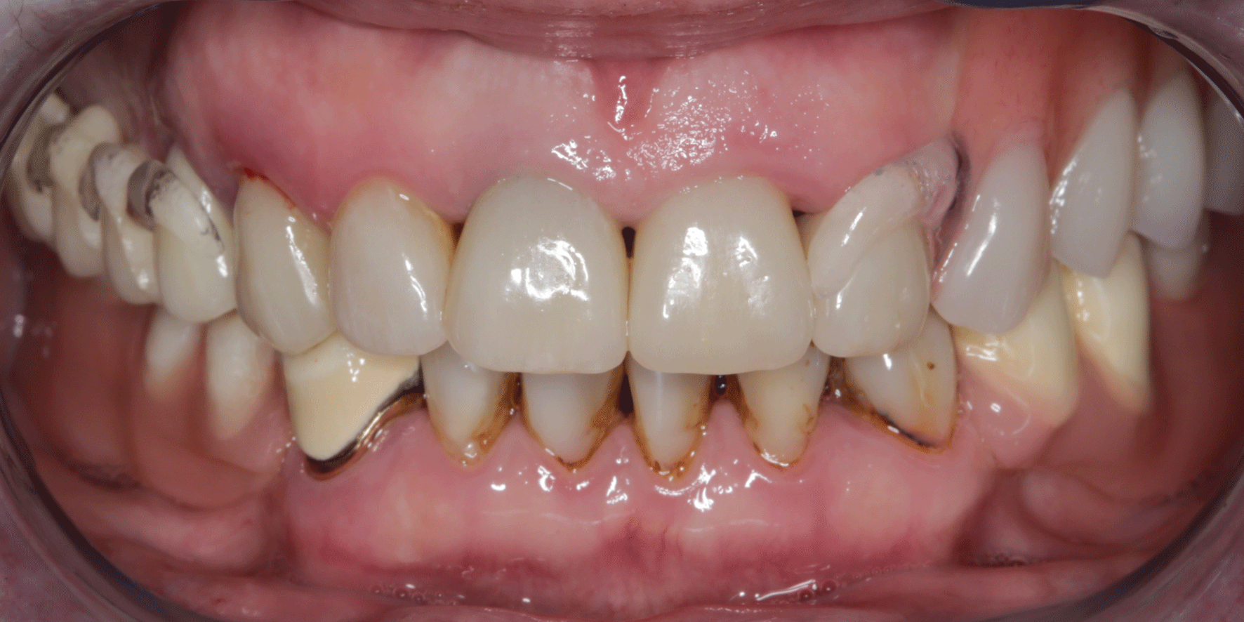
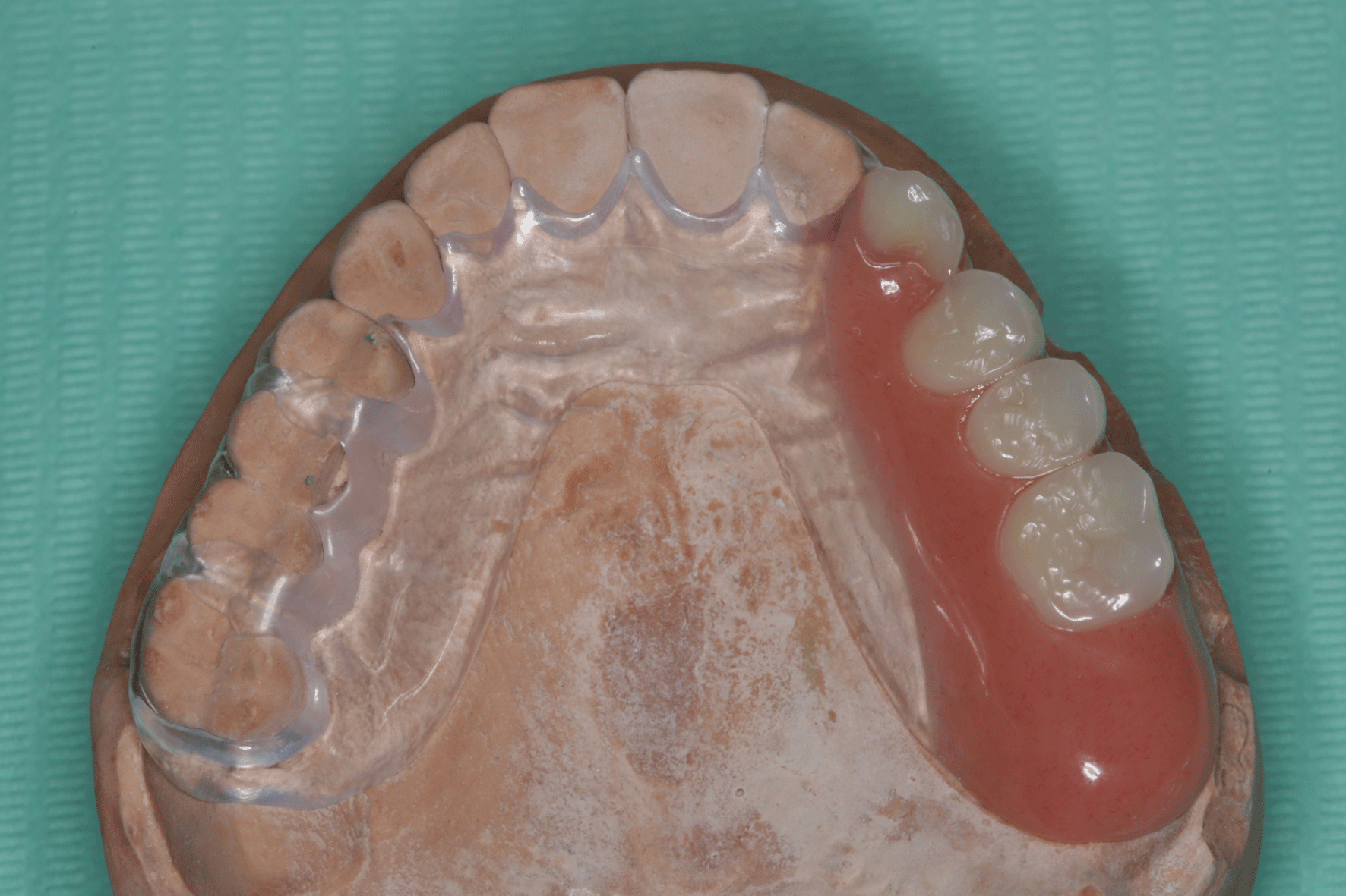
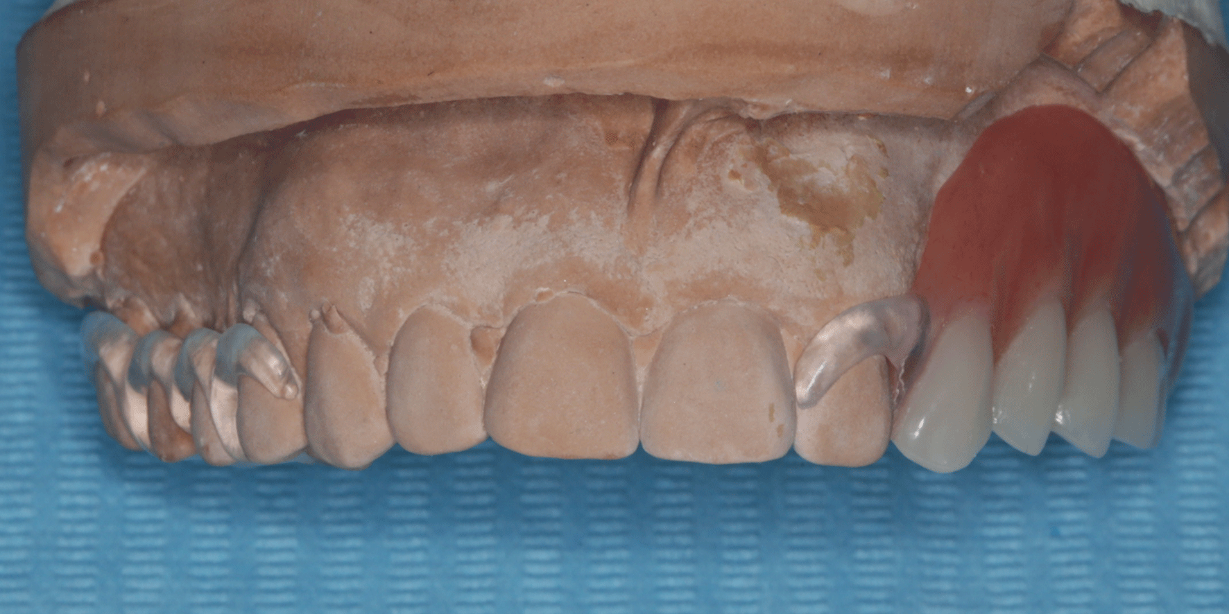
- metallfreie Interimsprothese -                             -> auch für längere Zeit


  • 1
  • 2
  • 3
  • 4
  • 5

 


 Zahnarztpraxis

Stefan Krause

Dr.-Hockertz-Str. 18

73635 Rudersberg

 

Telefon:   07183-3678

Telefax:   07183-3666

whatsapp

01522 8466422

E-Mail:

praxis@zahndate-bykrause.de


Sprechzeiten:

Mo/Di/Do

Mi/Fr

08.00-12.00

08.00-12.00

14.00-18.00


 

 

 

 

 

E-Mail
Anruf
Infos
Instagram